Home
About
The Team
Practice Gallery
Reasons To Choose Us
Fees
NHS
Private
Dental Hygienist
Teeth Straightening
Offers
Testimonials
Smile Gallery
Tooth whitening
Dentures
Crowns
Dentures
Bridges
Tooth coloured fillings
Michigan Splint
Tooth Pain
Contact
Thames Dental Surgery | NHS dentist in Leigh On Sea | NHS dentist in Southend | Dentist in Leigh On Sea
Thames Dental Surgery | NHS dentist in Leigh On Sea | NHS dentist in Southend | Dentist in Leigh On Sea
Call us on 01702 478494
Home
About
The Team
Practice Gallery
Reasons To Choose Us
Fees
NHS
Private
Dental Hygienist
Teeth Straightening
Offers
Testimonials
Smile Gallery
Tooth whitening
Dentures
Crowns
Dentures
Bridges
Tooth coloured fillings
Michigan Splint
Tooth Pain
Contact
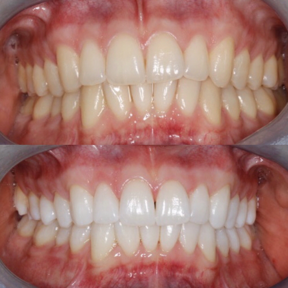
Tooth whitening
×
×
×
×
×
×
×
×